SciTechDaily

ניקולס

מקרה ראשון מתועד של נזק מוחי משאיפת פנטניל

בעקבות אפיזודה של דלקת מוחית חמורה משאיפת פנטניל, אדם החלים בהצלחה בעזרת צוות רב-תחומי ב-OHSU, כמפורט ב- דיווחי מקרה של BMJ. מקרה זה משמש אזהרה לגבי השפעת האופיואידים על החברה. (קונספט האמן.) קרדיט: twoday.co.il.com

מקרה מבחן מדגיש סכנה נוספת של פנטניל אסור, במיוחד למשתמשים בפעם הראשונה.

האיש הגיע מחוסר הכרה וכמעט מוות.

בן 47, שהיה בריא בעבר ללא היסטוריה רפואית ידועה, הגיע באמבולנס למחלקת המיון באוניברסיטת Oregon Health & Science ב-25 בפברואר 2023. הוא נמצא ממוטט בחדר המלון שלו, שם שהה במהלך נסיעת עסקים . כשהקלינאים החלו לתת טיפול מציל חיים, הם חיפשו את הסיבה.

אבחון חסר תקדים

בדוח מקרה שפורסם באינטרנט היום (29 באפריל 2024) בכתב העת דיווחי מקרה של BMJרופאים הציגו את האבחנה המפתיעה וחסרת התקדים: לוקואנצפלופתיה רעילה על ידי פנטניל שְׁאִיפָה.

במילים אחרות, שאיפת פנטניל גרמה לחלקים גדולים של חומר לבן במוחו של החולה להתדלק עד לנקודה שבה הוא איבד את הכרתו והסתכן באובדן בלתי הפיך של תפקוד המוח, או אולי מוות.

מומחים רפואיים תיעדו מקרים קודמים שנגרמו משאיפת הרואין, אך המטופל ב-OHSU הוא המקרה המתועד הראשון הכולל שאיפה של פנטניל אסור. המחבר הראשי של המחקר אומר שיש לקחת אותו כאזהרה לגבי הסכנה של חומר שהוא זול, זמין, וחזק פי 50 מהרואין.

השפעה ומודעות חברתית

"שימוש באופיואידים, במיוחד פנטניל, הפך לסטיגמטי מאוד", אמר הסופר הראשי כריס עדן, MD, כיום תושב שנה שנייה ברפואה פנימית בבית הספר לרפואה של OHSU, שהיה חלק מצוות הטיפול של המטופל. "זה מקרה של גבר ממעמד הביניים, בסוף שנות ה-40 לחייו, עם ילדים, שהשתמש בפנטניל בפעם הראשונה. זה מוכיח שפנטניל יכול להשפיע על כל אחד בחברה שלנו".

למרות שזהו המקרה המתועד הראשון, עדן אמרה שסביר להניח שמקרים אחרים פשוט לא זוהו, בין היתר בשל העובדה שמעט יחסית ידוע על הפיזיולוגיה של התסמונת. בנוסף, הוא אמר שבתי חולים לא כללו באופן מסורתי פנטניל במסכי התרופות הסטנדרטיים שלהם לבדיקת שתן.

יחד עם זאת, מנת יתר קטלנית ולא קטלנית עקב פנטניל ואופיואידים אחרים נפוצות מדי.

"אנחנו מכירים היטב את תופעות הלוואי הקלאסיות של האופיאטים: דיכאון נשימתי, אובדן הכרה, חוסר התמצאות", ציין עדן. "אבל אנחנו לא חושבים באופן קלאסי על כך שזה גורם לנזק מוחי בלתי הפיך ומשפיע על המוח, כפי שקרה במקרה הזה."

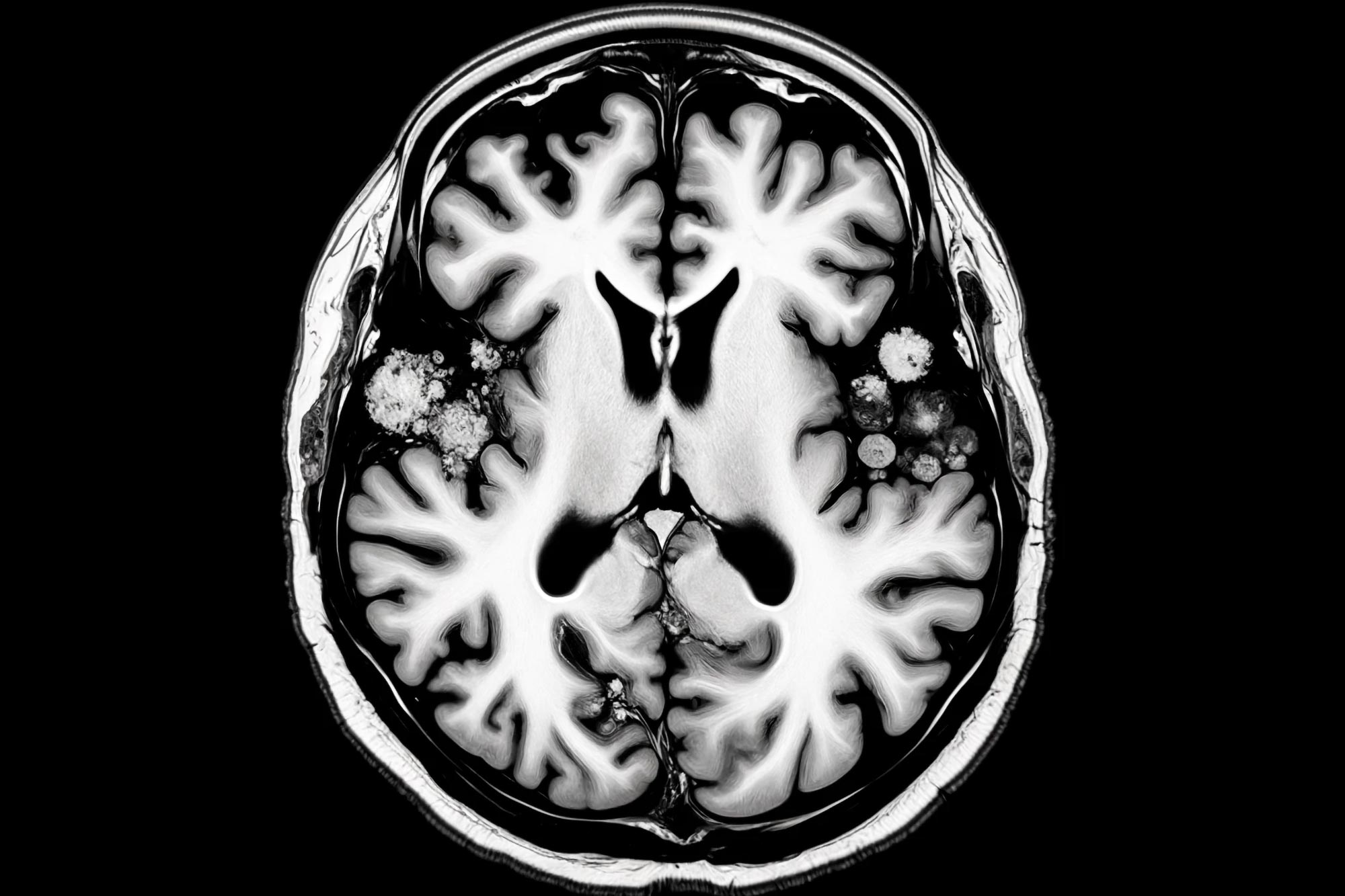
הדמיית תהודה מגנטית גילתה דלקת במוח. עם זאת, אובדן ההכרה, הזיכרון והתפקוד המתמשך של המטופל יכול היה לנבוע מכל מספר סיבות – שבץ מוחי, חשיפה לפחמן חד חמצני או מחלה מטבולית ביניהם. בסופו של דבר, בדיקת סמים לא סטנדרטית גילתה נוכחות של פנטניל במערכת שלו.

התאוששות איטית

למרבה המזל של המטופל, הוא התאושש לאט לאחר 26 ימים בבית החולים, ולאחר מכן שהות במתקן סיעודי מיומן כדי לעזור להחזיר את דיבורו ותפקודו. כעת הוא בבית עם משפחתו באזור סיאטל וחזר לעבודה. עד היום אין לו זיכרון מהפרק.

התוצאה המוצלחת כללה טיפול מקיף עם קלינאים רבים ותמיכה במרכז הבריאות האקדמי של אורגון ובבית החולים הגדול היחיד, כולם פועלים בגישה ממוקדת מטופל.

"המקרה הזה כלל רופאים פנימיים, נוירולוגיה, נוירורדיולוגיה וטיפול פליאטיבי, בנוסף לאחיות, עובדים סוציאליים, מתכנני שחרורים, פיזיותרפיסטים, דיאטנים ורוקחים", אמר עדן. "אני גאה בכך שהצוותים הרב-תחומיים הללו ב-OHSU עובדים יחד כדי לטפל בחולים מורכבים, הן מנקודת מבט רפואית והן מבחינה חברתית."

הרהורים אישיים

פרסום היום ב דיווחי מקרה של BMJ כולל גם נקודת מבט מהמטופל.

"אני מתחרט לעתים קרובות על מה שעשיתי לעצמי, לאשתי ולמשפחתי", אמר. "אני אסיר תודה לכל הרופאים, האחיות והמטפלים שהצילו את חיי, ולמטפלים שהחזירו אותי לחבר מתפקד בחברה".

בנוסף לעדן, מחברים שותפים כוללים את Duna Alkhalaileh, DO, MPH, David Pettersson, MD, ו-Alan Hunter MD, מ-OHSU; ואסד ארסטו, MD, בעבר מ-OHSU ועכשיו עם Penn Medicine.

ניקולס